LOGIQ P9
GE Healthcare представляет ультразвуковую систему LOGIQ™ P9 — систему общей визуализации, предназначенную для быстрого проведения диагностических исследований в условиях плотного графика. Независимо от экстренности и сложности исследования вы всегда можете положиться на доступную систему LOGIQ P9. Вы получаете одинаково качественные изображения, а также универсальные и простые в использовании функции, которые помогут своевременно принять верное решение.
Персонализированная… позволяет оптимизировать рабочий процесс.
Ключ к простоте системы — интуитивно понятная панель управления и персонализированный цифровой пользовательский интерфейс под названием My Page.
Эта инновационная функция компании GE Healthcare позволяет настраивать параметры рабочего процесса и выводить на большой сенсорный экран необходимые предустановленные сценарии использования, в том числе следующие.
- Измерения
- Пиктограммы
- Комментарии
- Функции
В интерфейсе My Page отсутствуют элементы, которые могут снизить скорость работы. Просто войдите в систему, выберите нужный тип исследования — и можно приступать к сканированию. Дополнительные заданные пользователем клавиши обеспечивают доступ к наиболее часто используемым функциям. Простая в использовании и освоении система LOGIQ P9 поддерживает высокую эффективность работы в условиях высокой загруженности.
Ориентированная на пациента система, позволяющая обеспечить превосходное качество обслуживания.
- Превосходное качество изображения с минимальными настройками
- Непревзойденное пространственное и контрастное разрешение в B-режиме
Удовлетворяет различные клинические потребности
- Широкий выбор высококачественных датчиков, которые подходят для большого количества исследований, включая исследования брюшной полости, малых органов, сосудов, сердца, опорно-двигательного аппарата, а также акушерских и гинекологических исследований
Используйте инструменты для расширенной визуализации
Используйте инструменты для расширенной визуализации 1 при необходимости, в том числе функции B-Flow™, 3D/4D, эластография, стресс-эхокардиография и TVI/TVD

Практичность… правильный выбор, гарантирующий удобство в использовании и эффективность инвестиций
Систему LOGIQ P9 легко интегрировать в рутинный рабочий процесс и настроить в соответствии с вашими потребностями.
Предназначены для обеспечения комфорта пациента и упрощения рабочего процесса
Широкий монитор диагональю 21,5 дюйма и удобно расположенный сенсорный экран диагональю 10,4 дюйма
- Удобная для управления панель, содержащая на 80 % меньше клавиш3
- Полноценный шарнирный кронштейн
- Компактная, легкая конструкция, позволяющая располагать систему в небольших помещениях и обеспечивающая ее повышенную мобильность в том числе за счет беспроводной связи и работы от аккумулятора с использованием функции Power Assistant
- Цифровые регулятор КУГ и клавиатура
- Операционная система Windows® 7
Помогает увеличить скорость проведения исследований и их эффективность
- Автоматизированные инструменты, например, автоматическая оптимизация изображения, автоматическое измерение толщины комплекса интима-медиа, Auto EF, Measure Assistant, Compare Assistant и Scan Assistant, позволяют ускорить проведение исследований
Получить помощь просто
- Встроенные учебные модули в рамках функции My Trainer обеспечивают более быстрое освоение системы пользователем
- Приобретаемые услуги обслуживания, включая удаленное обслуживание (например, удаленные диагностика системы и загрузка ПО), позволяют поддерживать работоспособность оборудования
Дополнительные материалы
Малые органы
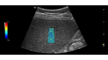
Печень, эластография сдвиговой волны, C1-5-RS
Изображения CF и PW сонных артерий, L4-12t-RS
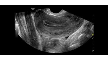
Матка, B-режим, IC9-RS
Ультразвуковая визуализация с контрастированием (CEUS), C1-5-RS
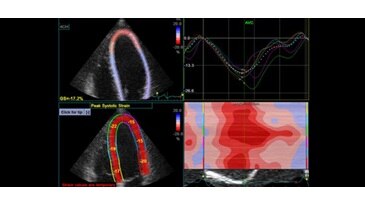
Деформация сердца, 3Sc-RS
HD™, RAB2-6-RS
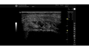
Большой палец стопы, B-Mode, L10-22-RS
Дерма PDI, L10-22-RS
Изображение PDI щитовидной железы, ML6-15-RS
Персонализированная… позволяет оптимизировать рабочий процесс.
Ключ к простоте системы — интуитивно понятная панель управления и персонализированный цифровой пользовательский интерфейс под названием My Page.
Эта инновационная функция компании GE Healthcare позволяет настраивать параметры рабочего процесса и выводить на большой сенсорный экран необходимые предустановленные сценарии использования, в том числе следующие.
- Измерения
- Пиктограммы
- Комментарии
- Функции
В интерфейсе My Page отсутствуют элементы, которые могут снизить скорость работы. Просто войдите в систему, выберите нужный тип исследования — и можно приступать к сканированию. Дополнительные заданные пользователем клавиши обеспечивают доступ к наиболее часто используемым функциям. Простая в использовании и освоении система LOGIQ P9 поддерживает высокую эффективность работы в условиях высокой загруженности.
Ориентированная на пациента система, позволяющая обеспечить превосходное качество обслуживания.
- Превосходное качество изображения с минимальными настройками
- Непревзойденное пространственное и контрастное разрешение в B-режиме
Удовлетворяет различные клинические потребности
- Широкий выбор высококачественных датчиков, которые подходят для большого количества исследований, включая исследования брюшной полости, малых органов, сосудов, сердца, опорно-двигательного аппарата, а также акушерских и гинекологических исследований
Используйте инструменты для расширенной визуализации
Используйте инструменты для расширенной визуализации 1 при необходимости, в том числе функции B-Flow™, 3D/4D, эластография, стресс-эхокардиография и TVI/TVD

Практичность… правильный выбор, гарантирующий удобство в использовании и эффективность инвестиций
Систему LOGIQ P9 легко интегрировать в рутинный рабочий процесс и настроить в соответствии с вашими потребностями.
Предназначены для обеспечения комфорта пациента и упрощения рабочего процесса
Широкий монитор диагональю 21,5 дюйма и удобно расположенный сенсорный экран диагональю 10,4 дюйма
- Удобная для управления панель, содержащая на 80 % меньше клавиш3
- Полноценный шарнирный кронштейн
- Компактная, легкая конструкция, позволяющая располагать систему в небольших помещениях и обеспечивающая ее повышенную мобильность в том числе за счет беспроводной связи и работы от аккумулятора с использованием функции Power Assistant
- Цифровые регулятор КУГ и клавиатура
- Операционная система Windows® 7
Помогает увеличить скорость проведения исследований и их эффективность
- Автоматизированные инструменты, например, автоматическая оптимизация изображения, автоматическое измерение толщины комплекса интима-медиа, Auto EF, Measure Assistant, Compare Assistant и Scan Assistant, позволяют ускорить проведение исследований
Получить помощь просто
- Встроенные учебные модули в рамках функции My Trainer обеспечивают более быстрое освоение системы пользователем
- Приобретаемые услуги обслуживания, включая удаленное обслуживание (например, удаленные диагностика системы и загрузка ПО), позволяют поддерживать работоспособность оборудования
Дополнительные материалы
Малые органы
Печень, эластография сдвиговой волны, C1-5-RS
Изображения CF и PW сонных артерий, L4-12t-RS
Матка, B-режим, IC9-RS
Ультразвуковая визуализация с контрастированием (CEUS), C1-5-RS
Деформация сердца, 3Sc-RS
HD™, RAB2-6-RS
Большой палец стопы, B-Mode, L10-22-RS
Дерма PDI, L10-22-RS
Изображение PDI щитовидной железы, ML6-15-RS
Похожие товары
Вы недавно смотрели
Наши контакты
-
г. Ульяновск,
пр-д Индустриальный, 12 - +7 (8422) 30-40-45
-
Режим работы:
Пн-Пт с 9:00 до 18:00
Медикор © 2025-2026. Все права зарезервированы









