Voluson E10
С помощью Voluson™ E10 можно обеспечивать поистине уникальный уход — уверенно, эффективно и постоянно оставаться на передовой в области охраны женского здоровья. Система Voluson E10 сочетает в себе наиболее продвинутые возможности визуализации и функции, увеличивающие эффективность и безопасность. Благодаря этому она позволяет аргументированно и быстро отвечать на вопросы пациентов.
ПРЕВОСХОДНЫЕ СТАНДАРТЫ КАЧЕСТВА ВЫШЕ ОЖИДАНИЙ
Беспрецедентное качество для самых сложных задач
Исключительная детализация изображений с помощью платформы Radiance System Architecture системы Voluson. Ее оригинальная технология формирования пучка и высокопроизводительная система обработки обеспечивают:*
- 4X ультразвуковых канала для впечатляющих 2D и 3D/4D-изображений с улучшенной глубиной проникновения и четкостью
- 10-кратное увеличение скорости передачи данных для обеспечения более высокого разрешения и очень быстрой частоты кадров
- 4-кратное увеличение производительности для приложений с расширенными функциями и повышения эффективности рабочего процесса
Электронный 4D-датчик eM6C
По сравнению с механическими датчиками конвексный 4D-датчик с электронной матрицей обеспечивает превосходное разрешение и в 16 раз более быстрое получение объемов. Преимущество датчика eM6С заключается в сверхбыстром получении объемов, возможности проведения широкого спектра исследований и исключительной разрешающей способности — как в случае стандартного обследования, так и при проведении расширенного консилиума, например, в случае эхокардиографического исследования у плода.
Radiantflow
Новое поколение цветового допплера Radiantflow упрощает и ускоряет исследование, улучшает визуализацию мельчайших сосудов. Алгоритм построения изображения учитывает амплитуду допплеровского сигнала, что позволяет получить изображение схожее с 3D.
SlowFlowHD
Расширьте свои представления о возможностях допплеровского картирования с помощью технологии SlowflowHD, созданной для визуализации перфузии в сосудах самого малого размера.
𝘧𝘦𝘵𝘢𝘭HQ
Инновационная технология Voluson для углубленной оценки сократительной
функции сердца плода. Позволяет на основе измерений в стандартных сечениях проводить детальную оценку размера и формы сердца, а также спекл-трекинг. Программное обеспечение fetalHQ включает расширенный протокол измерений, содержащий как стандартные показатели z-значений, так и процентильный расчет для каждого измерения сердца плода.
HD𝘭𝘪𝘷𝘦
Семейство технологий Voluson для глубинного понимания анатомии и дифференцировки структур в объеме с беспрецедентной реалистичностью.
Инновационные технологии датчиков XDСlear
Высокочастотные монокристальные датчики с технологией XDСlear — это новый уровень детализации и пространственного разрешения: комбинация монокристальной технологии, акустического усилителя и охлаждающего слоя обеспечивают максимальную четкость изображения даже в условиях затрудненной визуализации
Дополнительные возможности объемной контрастной визуализации
Технология для дополнительного контрастного разрешения. Позволяет задавать дополнительную толщину среза в 3D или 4D и использовать дополнительные пресеты для костей и тканей. Может применяться в режиме реального сканирования (VCI-A), при оптимизации статических 3D-данных или OmniView-реконструкции.
Технология Advanced VCI с OmniView расширяет диагностические возможности режимов 3D и 4D, исследуя объект по любой произвольно проведенной линии и с регулируемой толщиной среза.
SonoCNS
Инновационный искусственный интеллект Voluson для автоматического отображения рекоммендованных сечений головного мозга плода и автоматического измерения основных нейросонографических параметров.
Scan Assistant
Помощник сканирования Scan Assistant — индивидуально настраиваемый протокол ультразвукового исследования пациентов. Инструмент, позволяющий стандартизировать исследования и проводить документирование данных пациентов согласно актуальным требованиям к ультразвуковому протоколу.
3D-печать
Возможность сохранения и передачи данных для 3D-печати для учебных, научно-исследовательских целей, улучшения взаимоотношений с пациентами.
Видео
Дополнительные материалы
Изображение головного мозга плода, полученное с помощью датчика C2-9 и с применением функции HDRes
Система кровообращения плода, 15 недель, с помощью eSTIC и HD-Flow™
Изображение HDlive™ плода, созданное с помощью SonoRenderlive
Сократимость сердца плода, представленная с помощью fetalHQ
View of intraventricular septum with e4D Bi-plane imaging
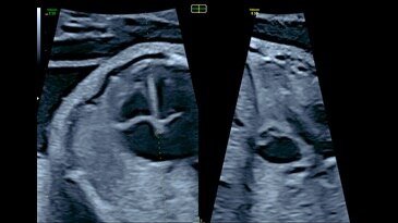
Tomographic ultrasound imaging (TUI) of uterine cavity
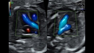
3VV and LVOT with Radiantflow™ in Dual Display
13-week fetal profile
Circle of Willis shown with SlowflowHD in Dual Display
HDlive Studio on a 10-week fetus
OmniView with multiple lines applied on 12-week fetus
HDlive Flow with umbilical cord
ПРЕВОСХОДНЫЕ СТАНДАРТЫ КАЧЕСТВА ВЫШЕ ОЖИДАНИЙ
Беспрецедентное качество для самых сложных задач
Исключительная детализация изображений с помощью платформы Radiance System Architecture системы Voluson. Ее оригинальная технология формирования пучка и высокопроизводительная система обработки обеспечивают:*
- 4X ультразвуковых канала для впечатляющих 2D и 3D/4D-изображений с улучшенной глубиной проникновения и четкостью
- 10-кратное увеличение скорости передачи данных для обеспечения более высокого разрешения и очень быстрой частоты кадров
- 4-кратное увеличение производительности для приложений с расширенными функциями и повышения эффективности рабочего процесса
Электронный 4D-датчик eM6C
По сравнению с механическими датчиками конвексный 4D-датчик с электронной матрицей обеспечивает превосходное разрешение и в 16 раз более быстрое получение объемов. Преимущество датчика eM6С заключается в сверхбыстром получении объемов, возможности проведения широкого спектра исследований и исключительной разрешающей способности — как в случае стандартного обследования, так и при проведении расширенного консилиума, например, в случае эхокардиографического исследования у плода.
Radiantflow
Новое поколение цветового допплера Radiantflow упрощает и ускоряет исследование, улучшает визуализацию мельчайших сосудов. Алгоритм построения изображения учитывает амплитуду допплеровского сигнала, что позволяет получить изображение схожее с 3D.
SlowFlowHD
Расширьте свои представления о возможностях допплеровского картирования с помощью технологии SlowflowHD, созданной для визуализации перфузии в сосудах самого малого размера.
𝘧𝘦𝘵𝘢𝘭HQ
Инновационная технология Voluson для углубленной оценки сократительной
функции сердца плода. Позволяет на основе измерений в стандартных сечениях проводить детальную оценку размера и формы сердца, а также спекл-трекинг. Программное обеспечение fetalHQ включает расширенный протокол измерений, содержащий как стандартные показатели z-значений, так и процентильный расчет для каждого измерения сердца плода.
HD𝘭𝘪𝘷𝘦
Семейство технологий Voluson для глубинного понимания анатомии и дифференцировки структур в объеме с беспрецедентной реалистичностью.
Инновационные технологии датчиков XDСlear
Высокочастотные монокристальные датчики с технологией XDСlear — это новый уровень детализации и пространственного разрешения: комбинация монокристальной технологии, акустического усилителя и охлаждающего слоя обеспечивают максимальную четкость изображения даже в условиях затрудненной визуализации
Дополнительные возможности объемной контрастной визуализации
Технология для дополнительного контрастного разрешения. Позволяет задавать дополнительную толщину среза в 3D или 4D и использовать дополнительные пресеты для костей и тканей. Может применяться в режиме реального сканирования (VCI-A), при оптимизации статических 3D-данных или OmniView-реконструкции.
Технология Advanced VCI с OmniView расширяет диагностические возможности режимов 3D и 4D, исследуя объект по любой произвольно проведенной линии и с регулируемой толщиной среза.
SonoCNS
Инновационный искусственный интеллект Voluson для автоматического отображения рекоммендованных сечений головного мозга плода и автоматического измерения основных нейросонографических параметров.
Scan Assistant
Помощник сканирования Scan Assistant — индивидуально настраиваемый протокол ультразвукового исследования пациентов. Инструмент, позволяющий стандартизировать исследования и проводить документирование данных пациентов согласно актуальным требованиям к ультразвуковому протоколу.
3D-печать
Возможность сохранения и передачи данных для 3D-печати для учебных, научно-исследовательских целей, улучшения взаимоотношений с пациентами.
Видео
Дополнительные материалы
Изображение головного мозга плода, полученное с помощью датчика C2-9 и с применением функции HDRes
Система кровообращения плода, 15 недель, с помощью eSTIC и HD-Flow™
Изображение HDlive™ плода, созданное с помощью SonoRenderlive
Сократимость сердца плода, представленная с помощью fetalHQ
View of intraventricular septum with e4D Bi-plane imaging
Tomographic ultrasound imaging (TUI) of uterine cavity
3VV and LVOT with Radiantflow™ in Dual Display
13-week fetal profile
Circle of Willis shown with SlowflowHD in Dual Display
HDlive Studio on a 10-week fetus
OmniView with multiple lines applied on 12-week fetus
HDlive Flow with umbilical cord
Похожие товары
Вы недавно смотрели
Наши контакты
-
г. Ульяновск,
пр-д Индустриальный, 12 - +7 (8422) 30-40-45
-
Режим работы:
Пн-Пт с 9:00 до 18:00
Медикор © 2025-2026. Все права зарезервированы




















