Voluson E8
Система Voluson E8 предназначена для отделений с высокой загрузкой, выполняющих широкий спектр исследований в сфере Женского здоровья — от стандартного сканирования до детального комплексного обследования. Для экспертов в области ультразвуковой практики, которым приходится ежедневно решать сложные клинические задачи, где пациенты особенно нуждаются в уверенном диагнозе. Система Voluson E8 предназначена для отделений с высокой загрузкой, выполняющих широкий спектр исследований в сфере Женского здоровья — от стандартного сканирования до детального комплексного обследования.
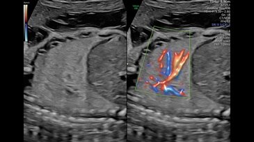
Radiantflow
Новое поколение цветового допплера Radiantflow упрощает и ускоряет исследование, улучшает визуализацию мельчайших сосудов. Алгоритм построения изображения учитывает амплитуду допплеровского сигнала, что позволяет получить изображение схожее с 3D.
SlowFlowHD
Расширьте свои представления о возможностях допплеровского картирования с помощью технологии SlowflowHD, созданной для визуализации перфузии в сосудах самого малого размера.
𝘧𝘦𝘵𝘢𝘭HQ
Инновационная технология Voluson для углубленной оценки сократительной
функции сердца плода. Позволяет на основе измерений в стандартных сечениях проводить детальную оценку размера и формы сердца, а также спекл-трекинг. Программное обеспечение fetalHQ включает расширенный протокол измерений, содержащий как стандартные показатели z-значений, так и процентильный расчет для каждого измерения сердца плода.
HD𝘭𝘪𝘷𝘦
Семейство технологий Voluson для глубинного понимания анатомии и дифференцировки структур в объеме с беспрецедентной реалистичностью.
Дополнительные возможности объемной контрастной визуализации
Технология для дополнительного контрастного разрешения. Позволяет задавать дополнительную толщину среза в 3D или 4D и использовать дополнительные пресеты для костей и тканей. Может применяться в режиме реального сканирования (VCI-A), при оптимизации статических 3D-данных или OmniView-реконструкции.
Технология Advanced VCI с OmniView расширяет диагностические возможности режимов 3D и 4D, исследуя объект по любой произвольно проведенной линии и с регулируемой толщиной среза.
3D-печать
Возможность сохранения и передачи данных для 3D-печати для учебных, научно-исследовательских целей, улучшения взаимоотношений с пациентами.
SonoCNS
Инновационный искусственный интеллект Voluson для автоматического отображения рекоммендованных сечений головного мозга плода и автоматического измерения основных нейросонографических параметров.
Оценка риска малигнизации опухолевых образований яичников на основе классификации IOTA (International Ovarian Tumor Analysis)
Каждое обследование органов малого таза дает возможность сделать жизнь пациентки лучше
В ультразвуковой системе представлены 3 модели IOTA одобренные Международной группой экспертов по анализу опухолей яичников IOTA.
Простые правила, IOTA LR2, IOTA ADNEX
Scan Assistant
Помощник сканирования Scan Assistant — индивидуально настраиваемый протокол ультразвукового исследования пациентов. Инструмент, позволяющий стандартизировать исследования и проводить документирование данных пациентов согласно актуальным требованиям к ультразвуковому протоколу.
xTouch
Инновационная технология xTouch — это интуитивно-понятная навигационная система для работы с объемными данными, включая вращение 3D-объекта по осям x/y/z, Zoom-масштабирование, а также технологии MagiCut, HDlive и OmniView и др.
Дополнительные материалы
Легкие и кишечник плода в 16 недель
Плацента в 37 недель, режим SlowflowHD
Эмбрион в 10 недель, технология HDliveStudio
Опухолевое образование яичника, технология HDlive Studio
Внутриматочный контрацептив и миома матки с помощью технологии Omniview
Тимус плода в 26 недель
Сосуды легких плода в режиме Radiantflow
Околомозолистая артерия, 25 недель, режим Radiantflow
Скелетный режим, технология Advanced VCI с Omniview
Дуга аорты, 22 недели, режим Radiantflow
Кровеносная система плода, технология STIC+B-Flow
Диафрагма плода в 22 недели
Radiantflow
Новое поколение цветового допплера Radiantflow упрощает и ускоряет исследование, улучшает визуализацию мельчайших сосудов. Алгоритм построения изображения учитывает амплитуду допплеровского сигнала, что позволяет получить изображение схожее с 3D.
SlowFlowHD
Расширьте свои представления о возможностях допплеровского картирования с помощью технологии SlowflowHD, созданной для визуализации перфузии в сосудах самого малого размера.
𝘧𝘦𝘵𝘢𝘭HQ
Инновационная технология Voluson для углубленной оценки сократительной
функции сердца плода. Позволяет на основе измерений в стандартных сечениях проводить детальную оценку размера и формы сердца, а также спекл-трекинг. Программное обеспечение fetalHQ включает расширенный протокол измерений, содержащий как стандартные показатели z-значений, так и процентильный расчет для каждого измерения сердца плода.
HD𝘭𝘪𝘷𝘦
Семейство технологий Voluson для глубинного понимания анатомии и дифференцировки структур в объеме с беспрецедентной реалистичностью.
Дополнительные возможности объемной контрастной визуализации
Технология для дополнительного контрастного разрешения. Позволяет задавать дополнительную толщину среза в 3D или 4D и использовать дополнительные пресеты для костей и тканей. Может применяться в режиме реального сканирования (VCI-A), при оптимизации статических 3D-данных или OmniView-реконструкции.
Технология Advanced VCI с OmniView расширяет диагностические возможности режимов 3D и 4D, исследуя объект по любой произвольно проведенной линии и с регулируемой толщиной среза.
3D-печать
Возможность сохранения и передачи данных для 3D-печати для учебных, научно-исследовательских целей, улучшения взаимоотношений с пациентами.
SonoCNS
Инновационный искусственный интеллект Voluson для автоматического отображения рекоммендованных сечений головного мозга плода и автоматического измерения основных нейросонографических параметров.
Оценка риска малигнизации опухолевых образований яичников на основе классификации IOTA (International Ovarian Tumor Analysis)
Каждое обследование органов малого таза дает возможность сделать жизнь пациентки лучше
В ультразвуковой системе представлены 3 модели IOTA одобренные Международной группой экспертов по анализу опухолей яичников IOTA.
Простые правила, IOTA LR2, IOTA ADNEX
Scan Assistant
Помощник сканирования Scan Assistant — индивидуально настраиваемый протокол ультразвукового исследования пациентов. Инструмент, позволяющий стандартизировать исследования и проводить документирование данных пациентов согласно актуальным требованиям к ультразвуковому протоколу.
xTouch
Инновационная технология xTouch — это интуитивно-понятная навигационная система для работы с объемными данными, включая вращение 3D-объекта по осям x/y/z, Zoom-масштабирование, а также технологии MagiCut, HDlive и OmniView и др.
Дополнительные материалы
Легкие и кишечник плода в 16 недель
Плацента в 37 недель, режим SlowflowHD
Эмбрион в 10 недель, технология HDliveStudio
Опухолевое образование яичника, технология HDlive Studio
Внутриматочный контрацептив и миома матки с помощью технологии Omniview
Тимус плода в 26 недель
Сосуды легких плода в режиме Radiantflow
Околомозолистая артерия, 25 недель, режим Radiantflow
Скелетный режим, технология Advanced VCI с Omniview
Дуга аорты, 22 недели, режим Radiantflow
Кровеносная система плода, технология STIC+B-Flow
Диафрагма плода в 22 недели
Похожие товары
Вы недавно смотрели
Наши контакты
-
г. Ульяновск,
пр-д Индустриальный, 12 - +7 (8422) 30-40-45
-
Режим работы:
Пн-Пт с 9:00 до 18:00
Медикор © 2025-2026. Все права зарезервированы




















