Voluson E6
Система Voluson E6 является прекрасным выбором для требовательных профессионалов, стремящихся быть лучшими как в сфере оказания медицинских услуг, так и в проявлении заботы о здоровье пациентов. Выбирая ультразвуковую систему, созданную на наследии впечатляющих решений, вы выбираете уверенность для ежедневной практики. Представляя ультразвуковую систему Voluson E6* российского производства, компания GE Healthcare осталась верна своей миссии делать экспертные технологии доступными. Voluson E6 — это ультразвуковая система для широкого спектра задач, представляющая эталонное качество визуализации Voluson и дополнительные возможности для роста.
Передовые технологии датчиков XDСlear
Высокочастотный монокристальный датчик с технологией XDСlear С2-9 — это новый уровень детализации и пространственного разрешения: комбинация монокристальной технологии, акустического усилителя и охлаждающего слоя обеспечивают максимальную четкость изображения даже в условиях затрудненной визуализации.
HDlive
Режим Voluson HDlive позволяет добиться дополнительной глубины и четкости объемных данных, а реалистичность изображений поможет улучшить отношения с пациентами.
Дополнительные возможности объемной контрастной визуализации
Технология для дополнительного контрастного разрешения. Позволяет задавать дополнительную толщину среза в 3D или 4D и использовать дополнительные пресеты для костей и тканей. Может применяться в режиме реального сканирования (VCI-A), при оптимизации статических 3D-данных или OmniView-реконструкции.
Технология Advanced VCI с OmniView расширяет диагностические возможности режимов 3D и 4D, исследуя объект по любой произвольно проведенной линии и с регулируемой толщиной среза.
SonoRenderlive
Быстрое получение 3D/4D-изображений благодаря технологии SonoRenderlive — автоматического определения плоскости визуализации объемных изображений 3D/4D.
onoVCADheart
Полуавтоматическое получение необходимых срезов сердца плода из одного объема с помощью технологии Voluson SonoVCADheart.
IOTA Group
IOTA GROUP — Международная группа по анализу опухолевых образований яичников.
Scan Assistant
Помощник сканирования Scan Assistant — индивидуально настраиваемый протокол ультразвукового исследования пациентов. Инструмент, позволяющий стандартизировать исследования и проводить документирование данных пациентов согласно актуальным требованиям к ультразвуковому протоколу.
xTouch
Передовая технология xTouch — это интуитивно-понятная навигационная система для работы с объемными данными, включая вращение 3D-объекта по осям x/y/z, Zoom-масштабирование, а также технологии MagiCut, HDlive и OmniView и др.
Дополнительные материалы
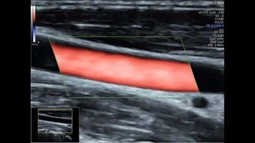
Сосуды предплечья, режим HD-Flow, датчик C1-6-D
Легочные сосуды, режим HD-Flow, 28 недель
Поверхностная реконструкция лица и пуповины плода в режиме Hdlive
Объемная реконструкция пуповины с помощью HDliveFlow
Мозолистое тело и червь мозжечка, 27 недель
Стимулированные фолликулы яичников
Технология объемной контрастной визуализации плоскости А (VCI-A) предплечья плода
Почка плода, режим HD-Flow
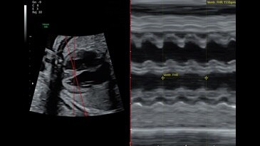
Анатомический М-режим, сердце плода, 27 недель
Коронарная плоскость матки, внутриматочная спираль в сочетании с миомой матки, технология Omniview
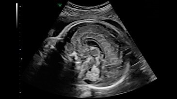
4-ех камерный срез сердца плода, 29 недель
Внутримозговые структуры в ранние сроки, технология HDlive Silhouette
ML6 - 15- D
9L- D
Кистозное образование молочной железы
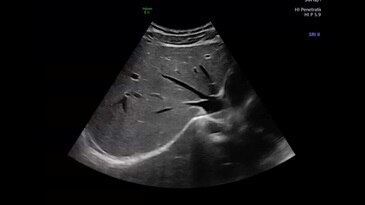
Прикорневой срез печени
Сердце взрослого, парастернальная проекция по длинной оси
Спектральная допплерограмма в режиме тканевой допплерографии
Передовые технологии датчиков XDСlear
Высокочастотный монокристальный датчик с технологией XDСlear С2-9 — это новый уровень детализации и пространственного разрешения: комбинация монокристальной технологии, акустического усилителя и охлаждающего слоя обеспечивают максимальную четкость изображения даже в условиях затрудненной визуализации.
HDlive
Режим Voluson HDlive позволяет добиться дополнительной глубины и четкости объемных данных, а реалистичность изображений поможет улучшить отношения с пациентами.
Дополнительные возможности объемной контрастной визуализации
Технология для дополнительного контрастного разрешения. Позволяет задавать дополнительную толщину среза в 3D или 4D и использовать дополнительные пресеты для костей и тканей. Может применяться в режиме реального сканирования (VCI-A), при оптимизации статических 3D-данных или OmniView-реконструкции.
Технология Advanced VCI с OmniView расширяет диагностические возможности режимов 3D и 4D, исследуя объект по любой произвольно проведенной линии и с регулируемой толщиной среза.
SonoRenderlive
Быстрое получение 3D/4D-изображений благодаря технологии SonoRenderlive — автоматического определения плоскости визуализации объемных изображений 3D/4D.
onoVCADheart
Полуавтоматическое получение необходимых срезов сердца плода из одного объема с помощью технологии Voluson SonoVCADheart.
IOTA Group
IOTA GROUP — Международная группа по анализу опухолевых образований яичников.
Scan Assistant
Помощник сканирования Scan Assistant — индивидуально настраиваемый протокол ультразвукового исследования пациентов. Инструмент, позволяющий стандартизировать исследования и проводить документирование данных пациентов согласно актуальным требованиям к ультразвуковому протоколу.
xTouch
Передовая технология xTouch — это интуитивно-понятная навигационная система для работы с объемными данными, включая вращение 3D-объекта по осям x/y/z, Zoom-масштабирование, а также технологии MagiCut, HDlive и OmniView и др.
Дополнительные материалы
Сосуды предплечья, режим HD-Flow, датчик C1-6-D
Легочные сосуды, режим HD-Flow, 28 недель
Поверхностная реконструкция лица и пуповины плода в режиме Hdlive
Объемная реконструкция пуповины с помощью HDliveFlow
Мозолистое тело и червь мозжечка, 27 недель
Стимулированные фолликулы яичников
Технология объемной контрастной визуализации плоскости А (VCI-A) предплечья плода
Почка плода, режим HD-Flow
Анатомический М-режим, сердце плода, 27 недель
Коронарная плоскость матки, внутриматочная спираль в сочетании с миомой матки, технология Omniview
4-ех камерный срез сердца плода, 29 недель
Внутримозговые структуры в ранние сроки, технология HDlive Silhouette
ML6 - 15- D
9L- D
Кистозное образование молочной железы
Прикорневой срез печени
Сердце взрослого, парастернальная проекция по длинной оси
Спектральная допплерограмма в режиме тканевой допплерографии
Похожие товары
Вы недавно смотрели
Наши контакты
-
г. Ульяновск,
пр-д Индустриальный, 12 - +7 (8422) 30-40-45
-
Режим работы:
Пн-Пт с 9:00 до 18:00
Медикор © 2025-2026. Все права зарезервированы

























